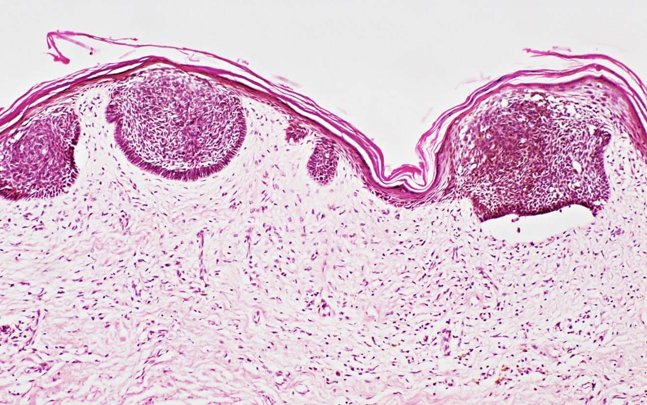
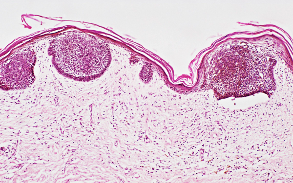
Basal cell carcinoma
Are you worried about skin changes? Basal cell carcinoma is the most common form of skin cancer.
Read on to learn about symptoms, treatment and prevention from Dr. Dropin.
Book an appointmentAre you worried about skin changes? Basal cell carcinoma is the most common form of skin cancer.
Read on to learn about symptoms, treatment and prevention from Dr. Dropin.
Book an appointmentBasal cell carcinoma is the most common type of skin cancer, but fortunately rarely life-threatening. It occurs in the basal cells of the outermost layer of the skin and usually grows slowly. Although it rarely spreads to other parts of the body, early diagnosis and treatment are important to avoid major interventions and scarring.
Book an appointment
Basal cell carcinoma can have different appearances, and it is not always easy to detect it yourself. Some common symptoms include:
If you notice any unusual changes in your skin, it is important to contact a doctor for an assessment.
Book an appointment
The main cause of basal cell carcinoma is excessive exposure to sunlight and UV radiation. Other factors that can increase your risk include:

We offer several effective treatment methods for basal cell carcinoma, adapted to your individual situation:
Our experienced dermatologists will examine you thoroughly and recommend the best treatment method for you.
Book an appointment
The best way to prevent basal cell carcinoma is to protect the skin from the sun:

At Dr. Dropin, you can quickly and easily book an appointment with an experienced dermatologist for the diagnosis and treatment of basal cell carcinoma. We offer:
Don't wait to address skin changes. Book an appointment with Dr. Dropin today!
